日本矯正学会「認定医/専門医」が必ず担当
世界シェアNo.1の
「インビザライン」
世界シェアNo.2の
「クリアコレクト」
「ワイヤー矯正
(表側/裏側)」にも対応
66万円~(税込)
- デンタルローン対応
- 「前歯だけ」の
部分矯正:11万円(税込) - 「後戻り」した方にも対応



66万円~(税込)








当院では、いま人気の「マウスピース型矯正」と従来からの「ワイヤー矯正」の両方に対応しています。担当は、日本矯正歯科学会認定医/専門医が必ず担当いたします。両方の矯正のメリット・デメリットを知り尽くしておりますので、どんなケースにも対応できます。

※日本矯正歯科学会認定医の詳細はこちら
矯正治療を始めるには、患者さんのお口の状態とご要望により、慎重に決定いたします。当院では複数の選択肢がありますので、まずは「どんな矯正治療」をしたいのかお伺いします。
当院が扱っている装置は下記です。
それぞれご紹介します。

最初にご紹介するのは、いま人気の「マウスピース矯正」です。下記がその特徴になります。
※但し「20時間以上」の装着が必要となります。
当院で取り扱っているのは「インビザライン」と「クリアコレクト」です。

「マウスピース型矯正装置」のパイオニア企業である、米国アライン・テクノロジー社が手掛ける製品です。
世界の100ヶ国以上で提供され、900万人を超える方がインビザラインによる治療を受けています。

クリアコレクトも、世界で高い実績を誇るマウスピース型矯正装置です。歯科インプラントで有名な「ストローマン」が提携していることからもその実力は証明されています。インビザラインに次ぐ実績を誇ります。

iTeroという装置を利用することで、治療前の段階で、あなたの歯並びがどのように変化するのかをご確認いただくことができます。

マウスピース矯正と言っても、部分的な矯正も対応できます。
気にかかっている「前歯」だけを治したいという方も、ぜひご相談ください。

マウスピース矯正を行っている方で、思ったように歯が動かなくてお困りの方が続出しています。なぜでしょうか?その理由と対策をお伝えします。
まず「マウスピース矯正」はワイヤー矯正と比較して、人の介入が少ない治療です。人工知能(AI)を活用して行う部分が多いのですが、AIといっても完璧ではありません。
そのため、調整には人の力(歯科医師)が大切となってきます。これを適切に行わないため、「歯が動かない」という問題が起こるのです。
歯科医師による調整を行わない、または、そもそも歯科医師による調整が必要とも思っていない方も多いようです。
これでは、せっかくの「マウスピース矯正」もその力を十分に発揮できないことになります。
他の医院でやり直しの矯正を行う方までいらっしゃいます。

最近では、この調整を行わず(もしくは行う知識がない)治療を進める歯科医院が少なからず存在し、他院でやり直しの矯正を行う患者さんが増えてきています。
値段の安さだけで判断するのではなく、担当医の実績やこれまで行ってきた症例などを、相談の際にしっかり確認されることを強くお勧めします。
また、マウスピース矯正のメーカーは多く存在し、それぞれ特徴も異なります。
治療を受けたいと思っている医院が「どのメーカー」を利用しているのか、そしてそのメーカーは問題ないのかを事前に確認されることを強くお勧めします。


以前は「ワイヤー矯正は目立つから嫌だ」「取り外しできなくて不便」という声をよく聞きました。
しかし最近では「マスクをしているのでワイヤーでも問題ない」「取り外しできない方が自分には合っている」とワイヤー矯正を選択される方が増えています。
ワイヤー矯正の種類には次のようなものがあります。
その違いは「目立つ」「目立ちにくい」となります。


矯正治療をすることで、Eライン/フェイスラインが整う可能性があること、知っていましたか?
特に「出っ歯」「受け口」「歯がガタガタ」の方が矯正をすると横顔がシャープに整うことがあります。
フェイスラインを整える方法で有名なのは、「美容外科」だと思います。簡単に美容外科との比較をまとめてみました。
| 費用 | 治療 期間 | 体への負担 | 変化 | 持続性 | |
|---|---|---|---|---|---|
| 矯正 治療 ![]() | 数十万~90万以内 | 1年~2年半 | 小さい | 自然な変化 | 治療後はその状態を維持できる |
| 美容 整形 ![]() | 数十万~100万以上 | 数日~数か月 | 大きい | 不自然になってしまう可能性あり | 施術内容によっては永続性がない。 |
美容外科のメリットは「治療期間が短い」こと。デメリットは「費用が高い」「身体への負担が大きい」「永続性がないケースもある」ことです。
一方、矯正治療は、「治療期間が長い」ですが美容外科と比較して費用が少なく、何よりも本来持っているご自身の美しさを引き出す治療になります。
フェイスラインを整えたいと思っている方、矯正治療も良いかと思います。
詳しく説明しますので、興味のある方はご相談ください。
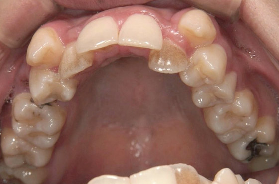
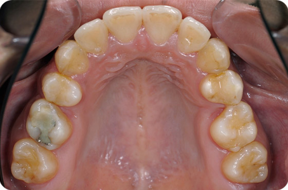
歯科矯正後、徐々に歯並びが戻ってしまう事を「後戻り」と言います。
おそらく原因の多くは「保定装置(リテーナー)」をしっかり装着していなかった方でしょう。

後戻りしてしまった方は、次のようなお悩みをお持ちです。
後戻りした歯の再矯正の多くは、部分的な矯正で済むことが多くあります。
そのため、全体矯正と比べ低価格で実施でき、治療期間も数か月で済むことがあります。
契約前に詳しくお伝えしますので、このような悩みがある方は、まずはご相談ください。

矯正治療を行っていない歯科医院はほぼないでしょう。そのくらい今や多くの歯科医院で矯正治療に対応しています。その中で、大きく2タイプの医院に分けることができます。
どちらの医院でも矯正はできますが、どちらの方がいいのでしょう?
簡単に「違い」をまとめてみました。
| 専門性 | 抜歯 | 虫歯/歯周病治療 | 1つの医院で完結 | |
|---|---|---|---|---|
| 矯正「専門」医院 | ◎ | × | × | × |
| 「総合」歯科医院 | 〇or△ | 〇 | 〇 | 〇 |
「矯正専門医院」は矯正治療しか行いません。ですので、抜歯が必要になったり、虫歯や歯周病の処置が必要になる場合は、他院を紹介されることになります。
「総合歯科医院」では、抜歯も虫歯等の治療もその医院で完結できます。他院を紹介されることはありません。
どちらの医院が良いかは患者さんのお考えによって異なるかと思います。
その医院で完結させたい方は「総合歯科医院」、専門性(特にワイヤー矯正の場合)を優先させたい方は「矯正専門医院」になります。
迷われている方は、ご相談ください。相談したらかといって、当院で治療を行う必要はありません。
当院では、患者さんが抱えていらっしゃるお口のお悩みや疑問・不安などにお応えする機会を設けております。どんなことでも構いませんので、私たちにお話ししていただけたらと思います。
ご興味がある方は下記からお問い合わせください。


地下鉄「東西線西11丁目駅」3分
【院長】千葉 豊和
〒060-0062
北海道札幌市中央区南2条西10丁目7-1
| 診療時間 | 月 | 火 | 水 | 木 | 金 | 土 | 日 | 祝 |
|---|---|---|---|---|---|---|---|---|
| 10:00 ~ 14:00 | ● | ● | ● | ● | ● | ● | / | / |
| 15:00 ~ 19:00 | ● | ● | ● | ▲ | ● | ▲ | / | / |
休診日:土曜(隔週)・日曜・祝日
▲ 木曜17:00まで/土曜16:00まで
※平日が休診日の場合もございます。来院前にInstagramでご確認いただけますと幸いです。
TEL 011-251-3038

地下「中島公園駅」10分
【院長】須田 善行
〒064-0808
北海道札幌市中央区南8条西9丁目756-3
| 診療時間 | 月 | 火 | 水 | 木 | 金 | 土 | 日 | 祝 |
|---|---|---|---|---|---|---|---|---|
| 10:00 ~ 13:00 | ● | ● | ● | ● | ● | ● | / | / |
| 14:00 ~ 19:00 | ● | ● | ● | ▲ | ● | ▲ | / | / |
休診日:日曜・祝日
▲ 木曜17:00まで/土曜16:00まで
TEL 011-520-1238

市電「中島公園通駅」10分
【院長】巣山 達
〒064-0912
北海道札幌市中央区南12条西8丁目3-30
パークシティハウス 1F
| 診療時間 | 月 | 火 | 水 | 木 | 金 | 土 | 日 | 祝 |
|---|---|---|---|---|---|---|---|---|
| 10:00 ~ 13:00 | ● | ● | ● | ● | ● | ● | / | / |
| 14:30 ~ 18:30 | ▲ | ● | ● | ● | ▲ | / | / | / |
休診日:日曜・祝日
▲ 月曜20:00まで/金曜20:00まで
TEL 011-552-3939